Acelere sua RM com imagens mais rápidas e de maior qualidade
O software SubtleMR é uma solução com tecnologia de IA DL usada para aprimorar a qualidade de protocolos de ressonância magnética acelerada, aumentando a nitidez e a redução de ruído da imagem.
Conheça nossa Inteligência Artificial para ressonância magnética.
IA de RM que utiliza algoritmos de aprendizado de máquina para aprimorar a qualidade das imagens obtidas por meio de ressonância magnética, tornando-as mais nítidas e de maior qualidade diagnóstica.
SubtleMR da Subtle Medical é uma solução de inteligência artificial que visa aprimorar os exames de ressonância magnética, tornando-os mais rápidos, eficientes e com imagens de melhor qualidade. Isso beneficia tanto os pacientes quanto os profissionais de saúde ao melhorar a experiência do paciente e fornecer informações diagnósticas mais precisas.
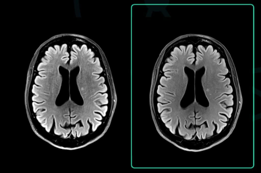
Varredura original: 3:46
Tempo Acq: 320×320
Varredura acelerada aprimorada por SubtleMR™
Tempo Acq: 1:29
Tempo Acq: 320×320
Varredura original: 3:24
Tempo Acq: 320×320
Varredura acelerada aprimorada por SubtleMR™
Tempo Acq: 1:09
Tempo Acq: 320×320
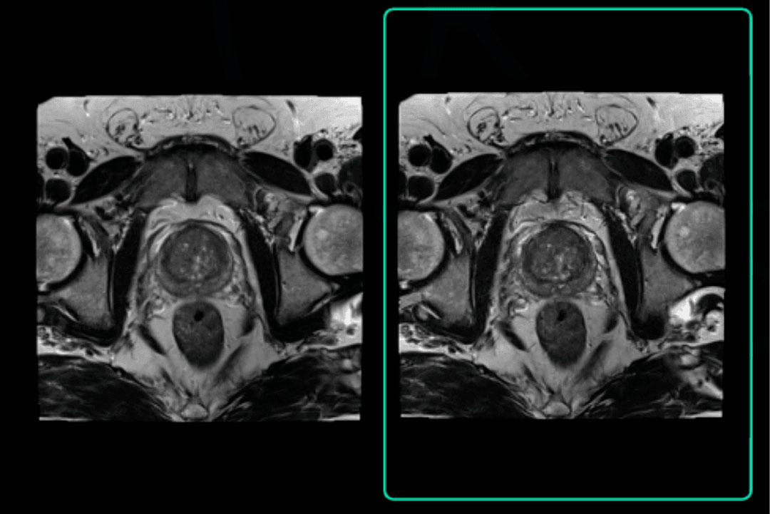
Varredura original: 3:39
Tempo Acq: 320×320
Varredura acelerada aprimorada por SubtleMR™
Tempo Acq: 2:09
Tempo Acq: 320×320
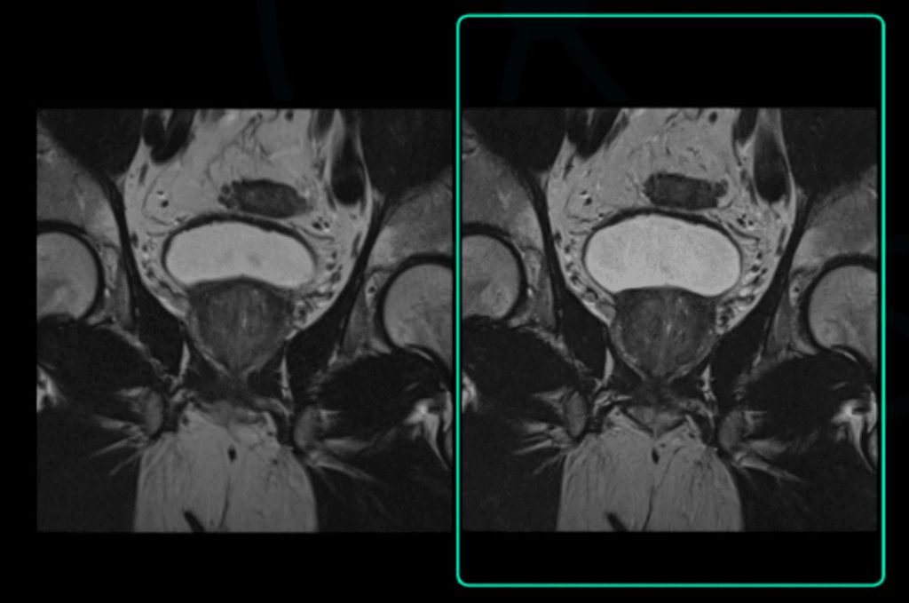
Varredura original: 2:10
Tempo Acq: 320×320
Varredura acelerada aprimorada por SubtleMR™
Tempo Acq: 1:09
Tempo Acq: 320×320
WhatsApp us
Utilizamos cookies essenciais e tecnologias semelhantes de acordo com a nossa Política de Privacidade e, ao continuar navegando, você concorda com estas condições